
쌍꺼풀 절개 vs비절개냐, 내 눈의 정답은? 실제 사례로 확인해보세요. │

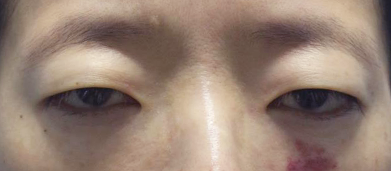
자연스러운 눈매 변화 │ 비절개쌍커풀 + 눈매교정 실제 사례 👀 │

아이라인 1회 제거로 이정도까지 깔끔하게? │ 아이라인 문신 제거 실제 사례 │

처진 눈 고민? 중년 눈성형 [눈썹하거상술+눈매교정] 조합이면 확실히 달라집니다👀

여드름 흉터치료 종결 ! 패인피부 매끈하게 ! 복합치료 전후사례로 확인하세요ㅣ

눈밑·앞광대만 달라져도 3배는 젊어보여요.ㅣ#눈밑필러+#앞광대필러 실제 시술 전후 사례














































































